MP3CV
Les affections cardiovasculaires sont responsables d’une mortalité importante. Leur cause est multifactorielle : vieillissement, mode de vie, maladies (diabète, insuffisance rénale chronique).
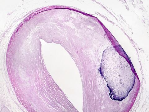
Parmi les facteurs aggravants, la présence de calcifications au niveau des vaisseaux et des valves cardiaques majore considérablement le risque cardio- vasculaire. Les mécanismes à l’origine de ces calcifications ne sont pas encore totalement connus et, à ce jour, il n’existe pas de thérapeutiques efficaces pour arrêter ou ralentir leur développement. Notre laboratoire oeuvre pour améliorer les connaissances et la prise en charge de ces calcifications.
Durant la pandémie mondiale de COVID-19, l’ensemble des membres du MP3CV a été mobilisé et a mis son expertise des pathologies cardio-vasculaires au service de projets de recherche visant, d’une part, à découvrir de nouvelles thérapeutiques de l’infection et, d’autre part, à identifier de nouveaux outils biologiques permettant d’évaluer le pronostic de la maladie.
Professeur Saïd KAMEL


Domaines de recherche
Notre projet de recherche consiste à préciser :
- les mécanismes moléculaires et cellulaires impliqués dans les processus de calcifications et les facteurs/marqueurs associés
- les conséquences hémodynamiques et structurales des calcifications cardiovasculaires chez l’animal et chez l’homme.
Domaines d'application
- Cardiologie
- Néphrologie
- Rhumatologie
- Biologie